Данные кейсы (примеры моих работ) носят ознакомительный характер
Покажу вам "ДО" и "ПОСЛЕ", без сильного углубления в терминалогию и этапы лечения.
Порфтолио
Раздел представлен для пациентов.
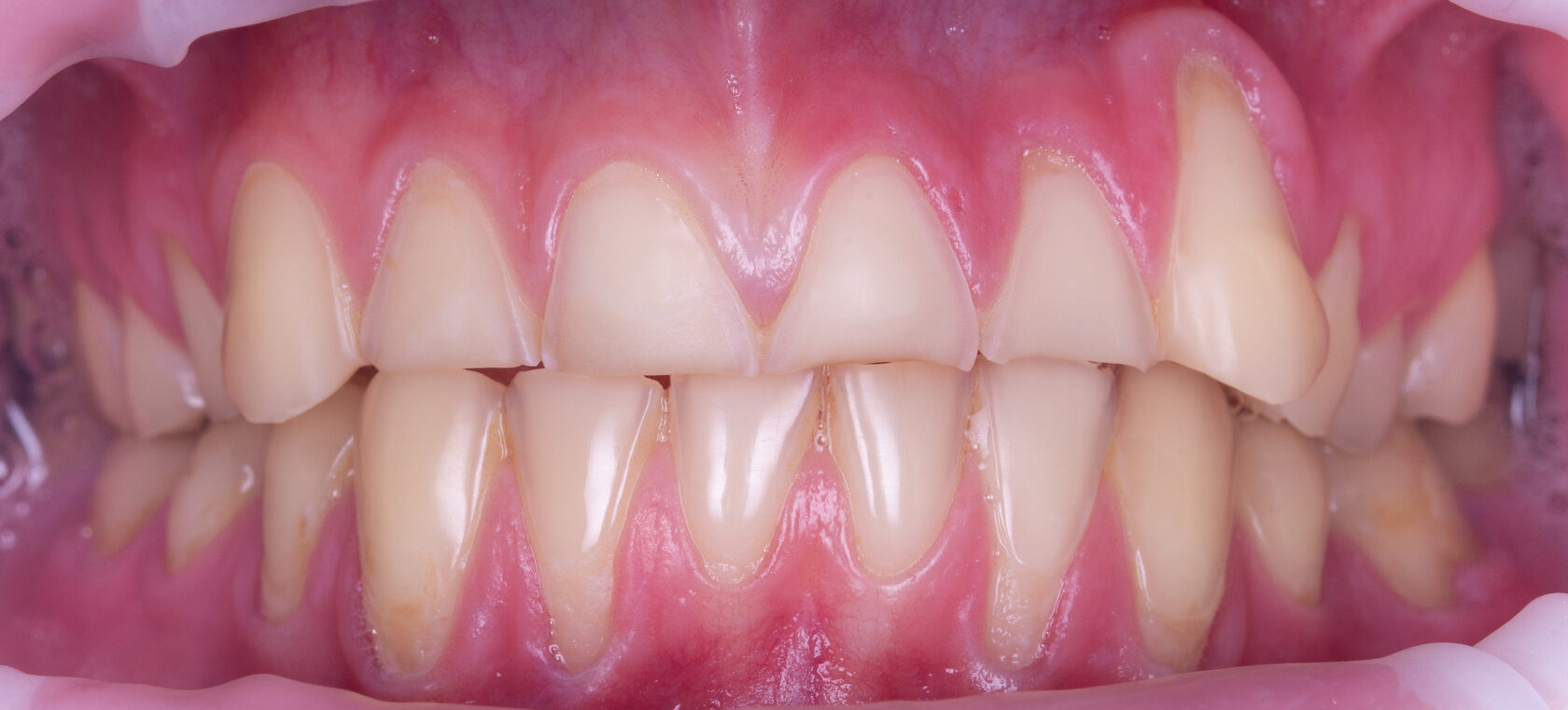
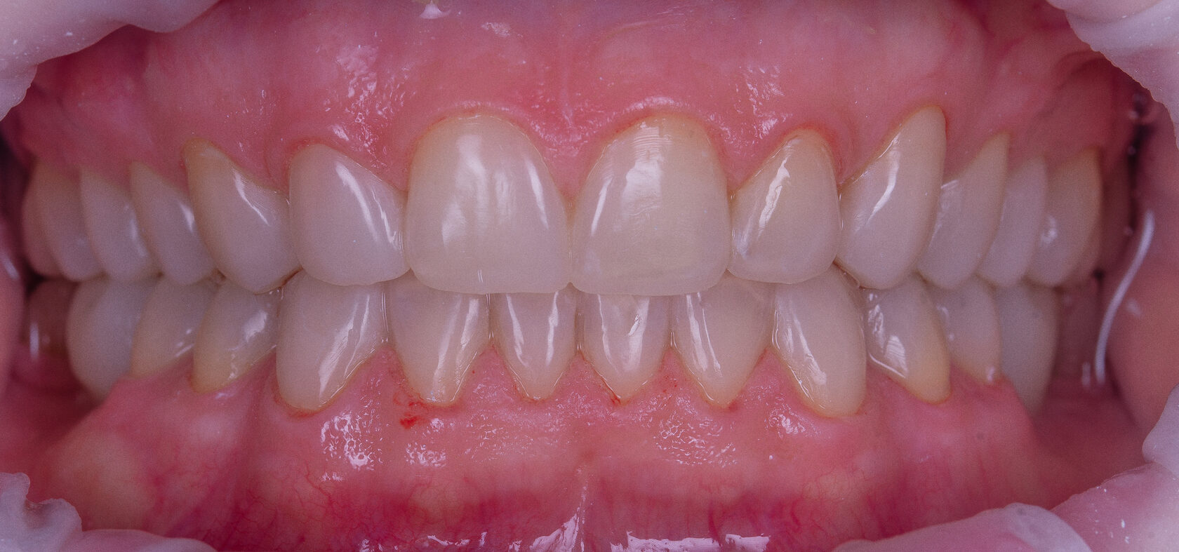
Кейс (Пример работы ) 1
Пациентка 45 лет. Обратилась с жалобами на боль в околоушной зоне. Разрушение коронок. Хруст в области правого сустава, появившегося после проведенного ранее протезирования на имплантах в другой клинике. Неудовлетворительная эстетика.

Проведена санация полости рта, диагностика ВНЧС. По результатам функциональной диагностики принято решение работать в миоцентрической окклюзии.
После использования тэнс процедуры, в позиции миоцентрика изготовлен композитный mock up длительного ношения.

В дальнейшем проведено тотальное протезироаание.
Кейс 2
Пациентка 65 лет. Ранее было проведенно протезирование на имплантатах в другой клинике, после чего у пациента появились следующие жалобы:

-щелчки в области обоих суставов.
-дискомфортное, болезненное ощущение в области околоушных зон справа и слева.
-неудовлетворительную эстетику.
-пациентка не могла найти комфортное положение для челюсти, ощущение «задавленной» кзади челюсти.

Проведено:

-санация полости рта.
-функциональная диагностика, где выявлено заднее компрессионное положение НЧ, вправляемые вывихи дисков ВНЧС справа и слева, многочисленные зоны мышечного гипертонуса.

Принято решение работать в терапевтической позиции, выставленной по вариатору.

-изготовление стабилизирующей каппы в новой позиции.
-тотальное протезирование в этой позиции.
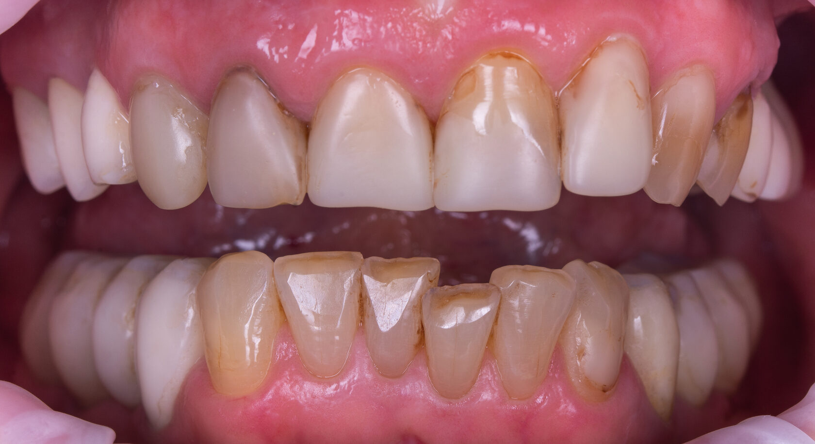
Кейс 3
Пациентка 32 года. Обратилась в клинику с жалобами:
-на сильную боль справа в области височно-нижнечелюстного сустава, чувство дискомфорта.
-сильное ограничение открывания рта.
-ограничение подвижности нижней челюсти
-на головную боль.
-ощущение изменения прикуса.
Провели диагностику, после чего приняли решение работать в компромиссном подходе с использованием тэнс-аппарата.



Изготовлена каппа в миоцентрике, сделано КТ, МРТ ВНЧС
Назначена медикаментозная терапия в течение недели.
Через 2 месяца непрерывного ношения каппы рот полностью открылся.
Изготовлен композитный Mock Up длительного ношения.
И в последующем, завершение лечение тотальным протезированием.
ПОСЛЕ
ДО
Кейс 4
Пациентка 20 лет обратилась с жалобами на:
-легкую болезненность в области суставов.
-сильную перегрузку жевательных мышц.
-сжатие зубов.
-разрушение эмали зубов снаружи, внутри, по жевательной поверхности.
-изменение положения нижней челюсти.
-сильный эстетический деффект
Пациентка отказалась от комплексного стоматологического лечения, А именно:
-хирургическая подготовка, включающая закрытие рецессий.
-ортодонтическое лечение.
Т.к пациентка отказалась от комплексного подхода принято решение действовать по компромиссному пути.
Провели функциональную диагностику, где было найдено положение нижней челюсти, отработали его на mock up вместе с эстетикой. Mock up композитный, длительного ношения.
В последующем провели тотальное протезирование.
На данный момент есть наблюдение за 3 года после сдачи постоянных коронок.
Кейс 5
(один из непростых клинических случаев)
Пациентка 40 лет. Обратилась в клинику с жалобами на:
Проведено:

  1. функциональная диагностика.
  2. По согласованию с пациентом, из-за ранее проведенного лечения по идеализированному протоколу в терапевтической позиции, которое не было успешным, была выбрана позиция стабильного мускулоскелетного соотношения «ЦС».
  3. В этой позиции изготовлена миорелаксирующая каппа на нижнюю челюсть, по типу обратной мичеганской.
  4. Проведена 4-кратная каудальная тракция пациенту.
  5. Назначена миогимнастика, массаж и ношение каппы.
-сильную боль в области височной зоны слева
-2 года боль при жевании, открывании рта. Ограничение открывания рта.

Ранее проходила лечение в другой клинике, где провели операцию артролаваж, затем артроскопия левого суства. Ничего не принесло облегчения, улучшения состояния не последовало.
Результат через 5 месяцев.
Для записи на консультацию заполните форму ниже
Я согласен/на с политикой конфиденциальности
Администратор клиники свяжется с вами в скором времени и подберет подходящее время и дату.